

Resultados
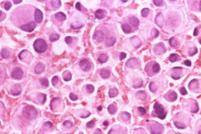
En el estudio histológico de la lesión, en diferentes secciones de piel coloreadas con hematoxilina y eosina, se observó neoplasia melanocítica, caracterizada por células tumorales pleomórficas de moderado tamaño, que comprometían la unión dermo-epidérmica e infiltraban extensamente la dermis hasta el subcutáneo (Figuras 2 y 3); estas células se disponían en nidos o grupos sólidos, o bien en forma dispersa, en cordones celulares o en patrón alveolar (Figura 4).
![]() |
| Figura 4 Células tumorales agrupadas en nidos o lóbulos, separados por tractos de tejido conectivo (PAS, 50X) |
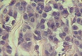
El citoplasma era abundante, eosinofílico, el núcleo era atípico, pleomórfico, con nucleolo prominente, a veces con mitosis atípicas (Figuras 5 y 6).
![]() |
![]() |
| Figura 5 | Figura 6 |
Figura 5 Aspecto citológico por frotis en fresco de la lesión. Obsérvese el citoplasma abundante, eosinofílico, núcleos grandes, pleomórficos, algunas binucleadas y la presencia de nucléolos evidentes (hematoxilina y eosina, 500X) Figura 6 Aspecto citológico de la lesión en corte histológico, donde se observan células tumorales de mediano tamaño con abundante citoplasma, núcleos pleomórficos y nucléolos evidentes, así como algunas mitosis atípicas. |
|
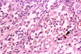
La pigmentación melánica era escasa y se evidenciaba sobretodo en los grupos de células tumorales de la dermis papilar (Figura 7).
![]() |
| Figura 7 Algunas células tumorales mostrando pigmento melánico en el citoplasma (flecha) (hematoxilina y eosina, 200X) |
La epidermis mostraba áreas de ulceración y en algunas áreas, los melanocitos tumorales comprometían toda la epidermis (exocitosis tumoral). Los estudios inmunohistoquímicos revelaron positividad para vimentina, proteína S-100 y HMB45, en todos los casos se emplearon controles positivos (Figuras 8, 9 y 10). Se diagnosticó como melanoma nodular de la vulva, con nivel V de Clark y un Breslow de 30.000 micras (3 cms.).
![]() |
![]() |
![]() |
| Figura 8 | Figura 9 | Figura 10 |
Figura 8 Positividad en el citoplasma para vimentina, en las células tumorales (inmunoperoxidasa, 500X) Figura 9 Positividad citoplasmática de las células tumorales para la proteína S-100 (inmunoperoxidasa, 250X) Figura 10 Positividad citoplasmática en células tumorales para HMB-45 (inmunoperoxidasa, 500X) |
||
