 |
- Historia
clínica.
- Hematología
completa.
- VSG +
Proteína C Reactiva.
- Hemocultivo y
antibiograma.*
- Si es
posible: serología específica, cultivo viral.
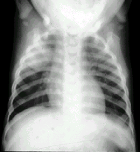
- RX tórax PA
y Lateral.*
- PPD.
- En caso de
derrame pleural: Gram, citoquímico, cultivo y
antibiograma del líquido pleural.
- *(pruebas
definitivas para el diagnóstico).
|